Una mujer de 69 años murió luego de contraer una ameba comecerebros al usar agua de la llave para realizar un tratamiento contra la sinusitis en Seattle, Washington.
De acuerdo a lo publicado en el International Journal of Infectious Diseases, la mujer estadounidense sufría una sinusitis por infección la cual se trataba con lavados con agua fría aplicada en la nariz vía un rinocornio dos veces al día.
Sin embargo la mujer no llenó el dispositivo con agua salina o estéril, sino que usó agua de la llave filtrada, lo cual le provocó problemas que comenzaron con un sarpullido en el lado derecho de la nariz.
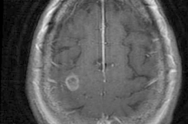
Los médicos le prescribieron medicamentos, sin embargo nada disminuyó el sarpullido; poco después la mujer padeció de un accidente cerebrovascular y tras los análisis, la tomografía computarizada mostró una lesión de media pulgada en su cerebro.
La mujer entró al quirófano para que se le extrajera el área dañada, sin embargo la paciente desarrolló parálisis en un brazo y en una pierna, poco después la biopsia reveló que padecía una infección por amebas en el cerebro.
La salud de la mujer se deterioró hasta que los familiares decidieron retirar el soporte vital. Durante la necropsia se confirmó que la presencia de Balamuthia Mandrillaris, una ameba que se alimenta de tejido cerebral, la cual provocó su muerte prematura.
Debido a este extraño caso, expertos de todo el mundo han puesto insistencia en indicar que el uso del rinocornio es saludable, y que el líquido que debe usarse debe ser el indicado por los especialistas.
Con información de RT.

