Muestran cómo afecta el coronavirus a los pulmones

Ciudad de México.

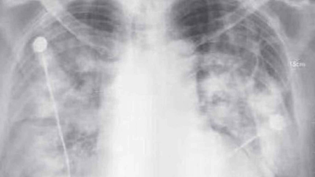
Médicos de China publicaron un informe en el que detallan cómo afecta a los pulmones la neumonía causada por el nuevo coronavirus surgido en ese país.

El especialista en infectología mexicano Juan Luis Mosqueda compartió imágenes de ese reporte, en las que se muestran radiografías de tórax de dos de los primeros pacientes contagiados y atendidos en la nación asiática.

En entrevista, el médico explicó que se detectó que la neumonía causada por el coronavirus 2019-nCoV afecta los dos pulmones de las personas, lo que indica que puede desarrollar una infección grave.

No obstante, subrayó, hasta ahora parece que este nuevo virus tiene una mortalidad baja si se atiende oportunamente.

Detalló que las neumonías conocidas anteriormente suelen afectar una parte del pulmón o uno solo.

Estos datos fueron publicados el viernes por los médicos chinos en la revista científica New England Journal of Medicine.

Advertisement. Scroll to continue reading.
[adsforwp id="243463"]

El especialista sostuvo que, más que alarmar, esta información permite a los médicos de otros países con casos sospechosos, como México, prepararse para atender un posible brote.

“Nos llama a los médicos a conocer hasta qué punto puede llegar esta neumonía y a saber que, ante un caso, tendríamos que diagnosticar y atender rápidamente. Esto nos ayuda a planear”, subrayó.

Mosqueda indicó que si en el País se confirma un caso positivo a coronavirus con neumonía, se debe diagnosticar y tratarse, a partir del inicio de los síntomas, en los primeros cinco a siete días para evitar un desenlace fatal.

 

 

vía debate.

Publicado por
Redacción Quintana Roo