Mundo

Padecía dolores de cabeza, su cerebro estaba lleno de larvas

Como bien sabes, es necesario lavar los alimentos antes de comerlos y acudir a lugares con buena higiene para evitar enfermedades, desdeinfecciones leves hasta padecimientos mortales.

Recientemente se dio a conocer el caso de un joven de 18 años plagado con quistes provocados por un parásito porcino.

El afectado, al que tristemente los doctores no pudieron salvarle la vida, acudió a urgecias por fuertes dolores de cabeza y convulsiones.

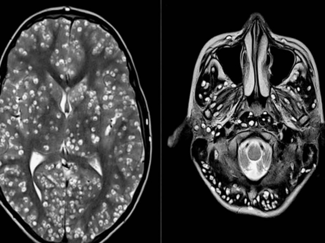
Tras practicarle una resonancia magnética y exámenes de ultrasonido, los especialistas encontraron que la corteza cerebral y el tronco encefálico del paciente estaban llenos de larvas.

El muchacho padecía neurocisticercosis, una enfermedad parasitaria originada cuando una persona ingiere huevos microscópicos de una tenia porcina y que afecta al tejido muscular. De ahí los parásitos se propagan al cerebro. Los personas infectadas pueden pasar mucho tiempo sin presentar síntomas.

A pesar de que esta afección se puede tratar con medicamentos, el elevado número de quistes no permitió al chico que se le suministraran los fármacos antiparasitarios necesarios.

El paciente fue tratado con corticoides estándares y medicamentos para evitar que se le manifestaran ataques epilépticos. Sin embargo, no se pudo revertir la situación y murió dos semanas después.

El caso ha sido publicado en un artículo de la revista New England Journal of Medicine.

Advertisement. Scroll to continue reading.
[adsforwp id="243463"]
Publicado por
Redacción Quintana Roo
Etiquetas: encortoportada