México

Clavan desarmador a médico residente en Monterrey durante asalto en inmediaciones de hospital

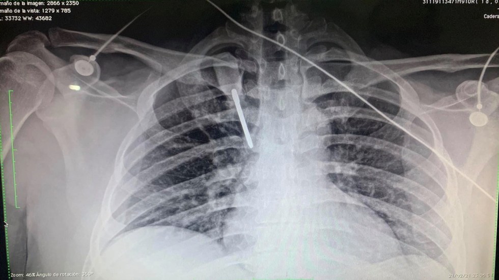
Juan Carlos Soria Maturino, residente de tercer año de Pediatría, fue asaltado en las inmediaciones de la Unidad Médica de Alta Especialidad 25 del Instituto Mexicano del Seguro Social ubicada en la colonia Mitras Norte de Monterrey, Nuevo Léon.

 

De acuerdo con los primeros reportes, los hechos ocurrieron el pasado 21 de febrero mientras el joven se encontraba de guardia en dicho hospital.

En redes sociales el médico compartió el caso, indicando que la agresión provino de dos sujetos que se encontraban recargados en un taxi estacionado cerca de la entrada del hospital.

 

Los dos sujetos habrían acorralado al médico para quitarle sus pertenencias mientras este pedía ayuda sin que nadie atendiera su llamado.

Tras el atraco, los dos sujetos le clavaron en el pecho a Soria un desarmador.

Advertisement. Scroll to continue reading.
[adsforwp id="243463"]

Después de esto, los agresores huyeron del lugar mientras equipos de emergencia atendieron al médico residente.

El médico detalló que continúa con vida gracias a la atención de un equipo médico y a que recibió atención oportuna.

En su publicación, se dijo decepcionado del trato que se le da a los profesionales de la salud e hizo un llamado a las autoridades para que se haga justicia en su caso.

Con información de López-Dóriga Digital

Publicado por
Alexis Montero
Etiquetas: portada